علوم
قرأتُ قبل سنتين كتاباً حرّره بروفسور الفيزياء النظرية العراقي جيم الخليلي Jim Al - Khalili. نُشِر الكتابُ بعنوان «ماذا بعدُ ؟: ما الذي يمكن للعلم أن يخبرنا بشأن..
بدعم من المكتبة الوطنية بالبرازيل صدر حديثاً في القاهرة النسخة العربية من رواية «مذكرات براس كوباس يكتبها بعد الموت» ترجمها عن البرتغالية الكاتب المصري مارك جما..
«يكتب المرء لكي يكون محبوباً، ويقرأ دون أن يحصل على ذلك الحب».
وجهت مصالح الأرصاد الجوية تنبيه بسقوط أمطار رعدية غزيرة الغربية والوسطى للوطن.
استطاع فريق من العلماء التقاط أفضل وأقرب صورة لكوكب المشتري، التي أظهرت الكثير من التفاصيل التي لم تكن تظهر في الصور الملتقطة سابقا على سطح الكوكب.
التقط مرصد فضائي في ولاية هواي الأميركية صورا عالية الدقة لكوكب المشتري الذي يعد أكبر كواكب المجموعة الشمسية حجما وأكثرها لمعانا. وتم تجميع الصور بالأشعة تحت ا..
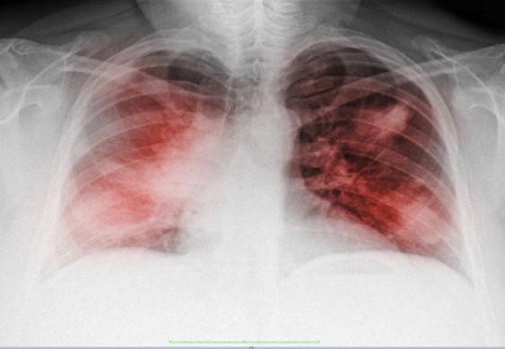
يُعرف نقص الأكسجة الصامت بأنه حالة تثير الغموض لدى الأطباء لتركها المرضى الذين يعانون من كورونا، قادرين على التحدث مع أحبائهم، بينما ينبغي أن يعانوا من أجل استن..

















