- RT
- 01 Jan 1970
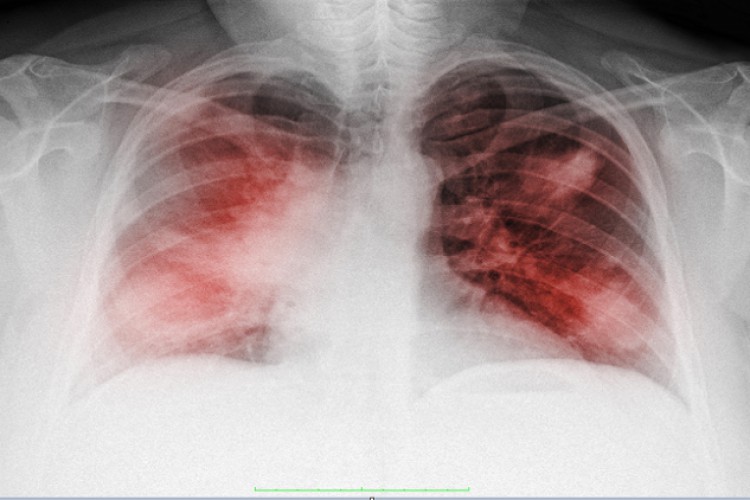
4 علامات لـ "نقص الأكسجة الصامت" الذي قد يكون مميتا لمرضى "كوفيد 19" - RT Arabic
يُعرف نقص الأكسجة الصامت بأنه حالة تثير الغموض لدى الأطباء لتركها المرضى الذين يعانون من كورونا، قادرين على التحدث مع أحبائهم، بينما ينبغي أن يعانوا من أجل استنشاق الهواء.









